Daniel Bush,Washington correspondentand
Paulin Kola
ReutersPresident Donald Trump on Friday threatened to place tariffs on nations that do not go along with his ambitions to annex Greenland.
Trump said at a…

Daniel Bush,Washington correspondentand
Paulin Kola
ReutersPresident Donald Trump on Friday threatened to place tariffs on nations that do not go along with his ambitions to annex Greenland.
Trump said at a…

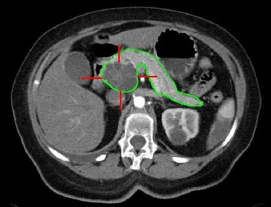
Cystic adenocarcinoma (marked in red) of the pancreas (outlined in green). Contrast‑enhanced computed tomography image.
MBq Disk Bew on Wikimedia Commons
A new immune cell therapy offers real hope for people with pancreatic cancer, a disease that has seen little progress and leaves most patients…

Law enforcement agencies have served a notice of suspicion on the director of a Zaporizhzhia-based company that supplied defective ballistic goggles to the Ukrainian Armed Forces worth UAH 60 million.
The Security Service of Ukraine (SBU) said this in a statement…

President Trump plans to pardon Puerto Rico’s former governor, Wanda Vázquez Garced, who pleaded guilty last year in a federal public corruption case, multiple sources told CBS News on Friday.
Her two co-defendants, the billionaire…

In a statement, Meloni said Italy was “perfectly aware of how much this region of the world represents a strategic quadrant in global balances” and pledged to continue working to preserve the Arctic as “an area of peace, cooperation and prosperity.”
She added that the Arctic must…

Photo: https://t.me/V_Zelenskiy_official
President of Ukraine Volodymyr Zelenskyy held a meeting with Advisor to the Minister of Defense of Ukraine,…

(function(w,q){w[q]=w[q]||[];w[q].push([“_mgc.load”])})(window,”_mgq”);
Same week in January 2026: Bucharest, an EU capital at peace, leaves 3,500 apartment buildings without proper heat after a single boiler failure. Kyiv, under daily Russian…

When Defense Secretary Pete Hegseth announced the Pentagon was adding Grok to its list of generative AI providers, he railed against AI models that “won’t allow you to fight wars.”
Hegseth wasn’t just riffing, a person familiar with his…

President Trump suggested on Friday that the US may impose new tariffs on countries that oppose a US acquisition of Greenland.
“I may put on a tariff on countries if they don’t go along with Greenland because we need Greenland for national…

A comic commentary on medicine from the publication “Puck.” A pharmacist dispenses alcohol, opium, cocaine, arsenic, and other strong “medicines. Artist Dalyrimple, 1900 (Photo by Pierce Archive LLC/Buyenlarge via Getty Images)
Buyenlarge via Getty Images
OpenAI recently launched ChatGPT health,…